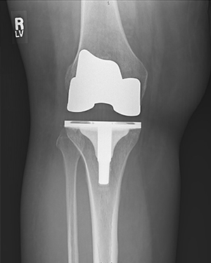
Revision Knee Joint Replacement- Two Weeks after Surgery
Ms. D. Z, is 2 weeks from Right knee replacement and 2 months from Left knee replacement.
This is Ms. D. Z, she is 2 weeks from Right knee replacement and 2 months from Left knee replacement. She is walking well with just a cane at 2 weeks post op.









